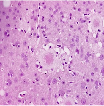
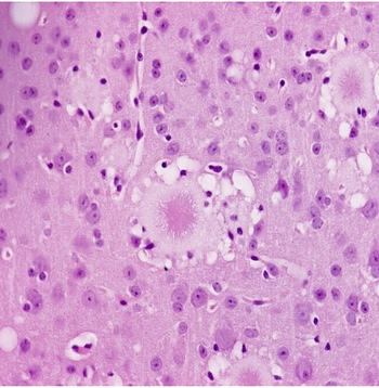
Une illustration des prions dans un dossier de recherche de l'INRA (ph INRA)
Voila que la maladie de Creutzfeldt-Jakob qui, avec les péripéties de la vache folle (ESB) , fit couler beaucoup d'encre voici quelques années, revient à la Une de l'actualité suite à la révélation du site Médiapart qui affirme qu'une plainte a été déposée contre l’INRA suite au décès, à 32 ans, d'une ancienne chercheuse de l'Institut agronomique. Cette personne aurait été contaminée au cours d’une manipulation dans un laboratoire. La plainte serait déposée par des membres de sa famille.
L'INRA déclare de son côté dans un communiqué:
« C’est avec une grande tristesse que l’INRA, sa direction et ses collègues ont appris le décès d’une ancienne chercheuse de l’INRA, qui a travaillé au sein de l'unité Virologie et immunologie moléculaire à Jouy-en-Josas de 2009 à 2012.
Il s’agirait d’un cas de maladie de Creutzfeld-Jakob nouveau variant. Les autorités sanitaires (Santé Publique France) en charge de la surveillance de ces maladies poursuivent leurs investigations.
Cette ancienne chercheuse ayant eu un accident de service en 2010 lors d’une expérimentation au sein du laboratoire, il est essentiel de comprendre les causes de la maladie.
L’INRA a répondu à la famille et aux autorités sanitaires en transmettant les pièces qui étaient demandées, et réaffirme son engagement de transparence : tous les éléments relatifs à l’accident et aux mesures de sécurité seront communiquées aux autorités sanitaires et à la justice.
Car il est essentiel que toute la vérité soit faite, c’est essentiel pour sa famille, mais aussi pour l’ensemble de la communauté scientifique.
L’INRA va par ailleurs contribuer à la mission confiée par la Ministre de la Recherche à l’IGAENR et à l’inspection santé et sécurité au travail, destinée à évaluer les mesures de sécurité dans les laboratoires de recherche sur les prions.»
L'INRA déclare de son côté dans un communiqué:
« C’est avec une grande tristesse que l’INRA, sa direction et ses collègues ont appris le décès d’une ancienne chercheuse de l’INRA, qui a travaillé au sein de l'unité Virologie et immunologie moléculaire à Jouy-en-Josas de 2009 à 2012.
Il s’agirait d’un cas de maladie de Creutzfeld-Jakob nouveau variant. Les autorités sanitaires (Santé Publique France) en charge de la surveillance de ces maladies poursuivent leurs investigations.
Cette ancienne chercheuse ayant eu un accident de service en 2010 lors d’une expérimentation au sein du laboratoire, il est essentiel de comprendre les causes de la maladie.
L’INRA a répondu à la famille et aux autorités sanitaires en transmettant les pièces qui étaient demandées, et réaffirme son engagement de transparence : tous les éléments relatifs à l’accident et aux mesures de sécurité seront communiquées aux autorités sanitaires et à la justice.
Car il est essentiel que toute la vérité soit faite, c’est essentiel pour sa famille, mais aussi pour l’ensemble de la communauté scientifique.
L’INRA va par ailleurs contribuer à la mission confiée par la Ministre de la Recherche à l’IGAENR et à l’inspection santé et sécurité au travail, destinée à évaluer les mesures de sécurité dans les laboratoires de recherche sur les prions.»
Les travaux de l'INRA sur le sujet:
L'INRA indique que l'équipe spécialiste des prions au sein de l'unité de "VIROLOGIE et IMMUNOLOGIE MOLECULAIRE" a amplement contribué à l'accroissement des connaissances de la biophysique et de la physiopathologie des prions (agents infectieux non-conventionnels de nature protéique). Ces chercheurs ont eu une contribution majeure à la compréhension des mécanismes de franchissement de barrière d'espèces par les prions, en développant des modèles novateurs d'infection expérimentale . L'ensemble de ces travaux trouve actuellement des prolongements dans le champ de maladies apparentées comme les maladies d'Alzheimer et de Parkinson.

Accueil
Une chercheuse de l'INRA victime de la maladie de Creutzfeldt-Jakob


















